NIH Researchers Identify Tissue Biomarker Signaling Aggressive Breast Cancer Risk
Guest Contributor
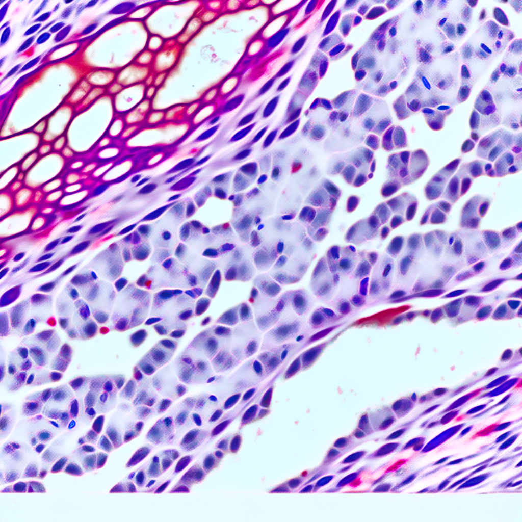
Researchers at the National Institutes of Health (NIH) have made a significant breakthrough in breast cancer research. Their discovery of a tissue biomarker offers new hope for identifying individuals at higher risk of developing aggressive breast cancer and experiencing worse outcomes. This advancement could pave the way for more personalized and effective treatment strategies.
Understanding who is more likely to develop aggressive forms of breast cancer is crucial for early intervention and improved survival rates. The NIH team’s findings highlight the potential of this biomarker as a predictive tool, which could transform current diagnostic and therapeutic approaches. Read the article on the NIH website for a detailed overview of the study and its implications.
This discovery underscores the importance of ongoing research in the fight against breast cancer. By identifying molecular indicators linked to disease severity, scientists can better tailor treatments to individual patients, improving outcomes and potentially saving lives. The NIH’s work exemplifies the critical role of biomedical research in advancing cancer care and prevention.
As research continues, the hope is that such biomarkers will become standard in clinical practice, enabling healthcare providers to identify high-risk patients earlier and offer targeted therapies that can halt disease progression. This development marks a promising step forward in the global effort to combat breast cancer.