The Animal Rescue Site News

Kitten found inside BMW engine compartment

Kitten's Incredible 250-Mile Journey Hidden Inside BMW

Kitten survives 250-mile car ride inside BMW, inspiring hope and compassion for animals everywhere.

Kitten's Incredible 250-Mile Journey Hidden Inside BMW

Kitten survives 250-mile car ride inside BMW, inspiring hope and compassion for animals everywhere.

Close-up of orange tabby cat

Why Orange Cats Are Genetic Marvels: The Science Behind Their Unique Color

Orange cats owe their unique color to a rare gene mutation, making them genetic marvels in the feline world.

Why Orange Cats Are Genetic Marvels: The Science Behind Their Unique Color

Orange cats owe their unique color to a rare gene mutation, making them genetic marvels in the feline world.

Breast cancer awareness ribbon and healthcare

How Medicaid Cuts Threaten Breast Cancer Care Access

Medicaid cuts threaten breast cancer patients' access to essential care and support services nationwide.

How Medicaid Cuts Threaten Breast Cancer Care Access

Medicaid cuts threaten breast cancer patients' access to essential care and support services nationwide.

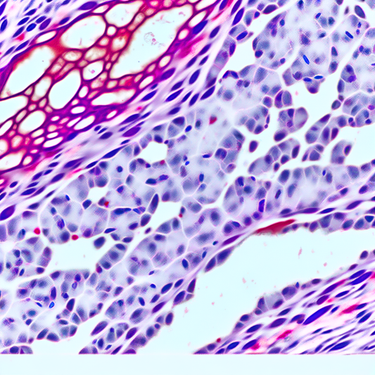
Microscopic view of breast tissue biomarker

NIH Researchers Identify Tissue Biomarker Signaling Aggressive Breast Cancer Risk

NIH discovers a tissue biomarker linked to higher risk of aggressive breast cancer and mortality.

NIH Researchers Identify Tissue Biomarker Signaling Aggressive Breast Cancer Risk

NIH discovers a tissue biomarker linked to higher risk of aggressive breast cancer and mortality.

VA research lab with scientists working

VA Research Faces Budget Cuts: What It Means for Veterans and Science

VA research budget cuts threaten innovation in veteran healthcare and critical medical breakthroughs.

VA Research Faces Budget Cuts: What It Means for Veterans and Science

VA research budget cuts threaten innovation in veteran healthcare and critical medical breakthroughs.

Genomic testing impacts breast cancer treatment

How Genomic Testing Transformed One Woman's Breast Cancer Journey

Genomic testing personalizes breast cancer treatment, helping avoid unnecessary chemotherapy and improving patient outcomes.

How Genomic Testing Transformed One Woman's Breast Cancer Journey

Genomic testing personalizes breast cancer treatment, helping avoid unnecessary chemotherapy and improving patient outcomes.